















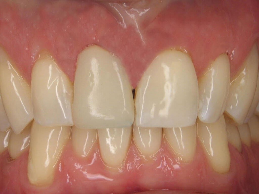
Patient presented with an abscess on tooth #8.
From the x-ray image, we were able to access that there was a horizontal root fracture due to a root canal tooth with a post in it.
An immediate extraction was performed and bone graft was placed into the extraction socket.
A single dental implant was then inserted into socket #8 to replace the missing tooth.