













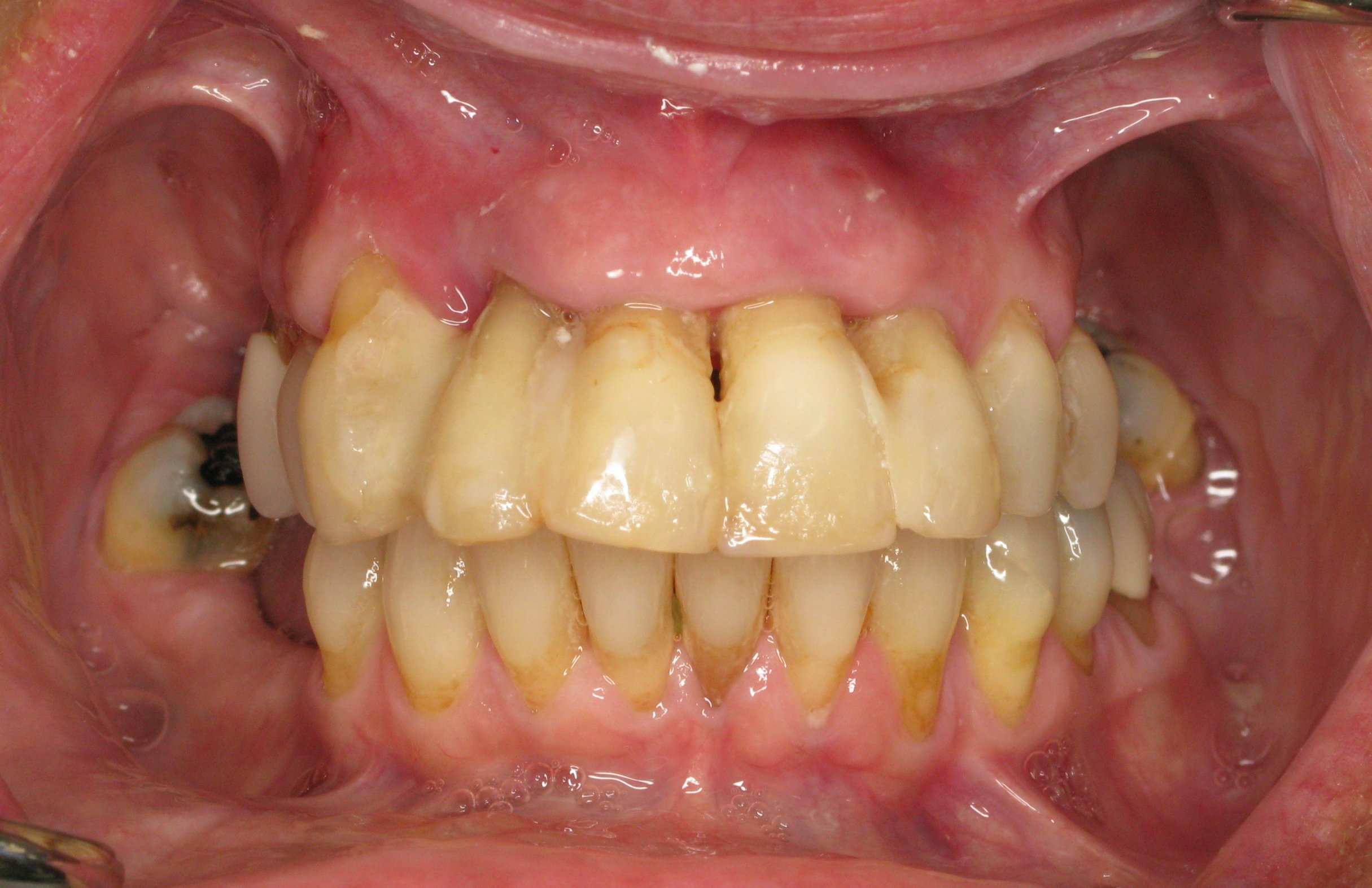
Patient came in for a second opinion as she was told from all the other dentists that her only option was a removable denture. She had neglected the dentist due to dental fear which resulted in bone loss and hopeless teeth. We managed to save her lower teeth and the upper was fixed with smile in a day in which the teeth were extracted and implants were placed with a fixed denture inserted all within a few hours. She was able to fully restore here smile despite having bone loss.